Луковицеобразный комок ткани, который врачи удалили хирургическим путем, стал болезненным на ощупь, а вокруг него выпали волосы.
«Несмотря на то, что «выпуклость от хедспина» известно в сообществе брейк-дансеров, оно едва ли задокументировано в медицинской литературе, — отметили врачи в статье, опубликованной в научном журнале BMJ Case Reports. – Согласно результатам, лечение этих шишек на голове хирургическим путем «кажется успешным вмешательством».
Брейк-данс — или брейкинг, как его называют практикующие — включает в себя силовые движения, которые могут включать балансировку в нестандартных позах или вращение на макушке головы. В этом случае танцор – мужчина в возрасте около 30 лет, практиковал различные типы вращений на голове более 19 лет. Он сообщил, что тренировался примерно пять раз в неделю по 1,5 часа за раз. Около двух-семи минут каждого занятия тратилось на оказание прямого давления на макушку головы.
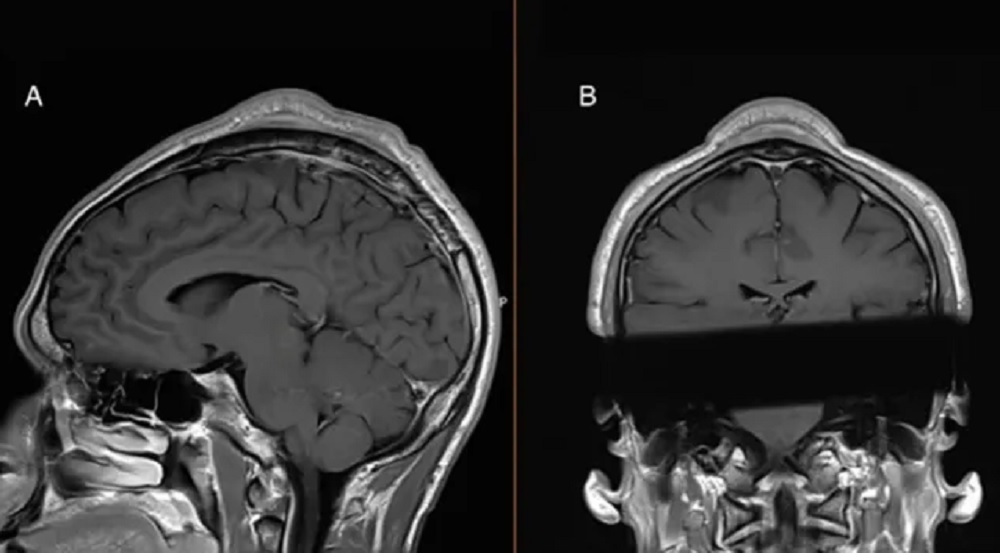
Мужчина сказал, что заметил на голове шишку, сопровождающуюся выпадением волос. И за последние пять лет шишка увеличилась и стала болезненной на ощупь. При осмотре шишки врачи отметили, что кожа над ней легко двигалась, масса была зажата между кожей и черепом.
Структурное сканирование головы мужчины подтвердило это, а также показало, что кожа над шишкой и череп под ней стали толще, чем окружающие их ткани. Во время операции врачи удалили большой кусок ткани из-под черепа мужчины. Они также обрезали утолщенную часть его черепа до ее нормальной ширины.
Хотя этот феномен «брейк-данс-бугорка» изучен недостаточно, имеющиеся исследования показывают, что брейкеры, практикующие вращения на голове, могут быть склонны к выпадению волос и появлению шишек на макушке.
Смотрите также:
В Витебске пациентке удалили огромную 6-килограммовую опухоль
